புதுக்கோட்டை அரசு மருத்துவக் கல்லூரி மருத்துவமனையில் 45 வயது மதிக்கத்தக்க ஒருவரின் வயற்றில் நடைபெற்ற அறுவை சிகிச்சையின் போது அவர் வயிற்றில் இருந்த பொருளை கண்டு மருத்துவர்கள் பெரும் அதிர்ச்சி அடைந்துள்ளனர்.
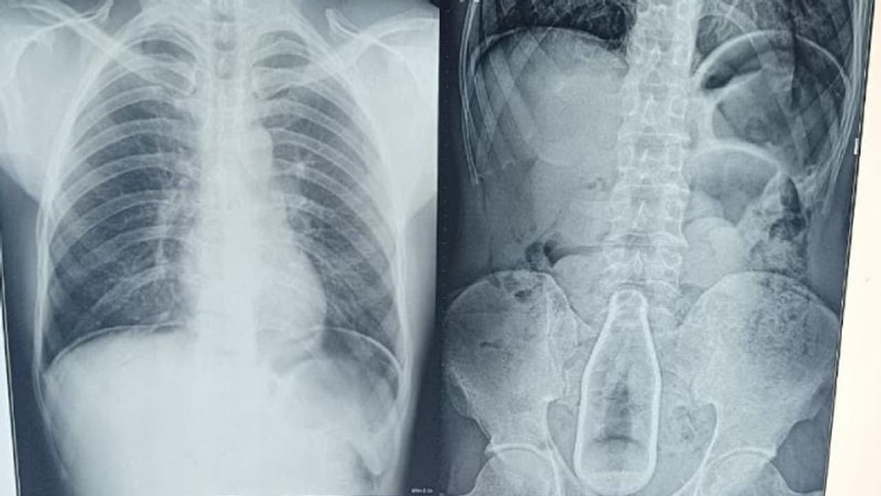
புதுக்கோட்டை மாவட்டத்தைச் சேர்ந்த 45 வயதுடைய ஒரு நபரின் ஆசனவாயில் இருந்து ரத்தம் வந்ததாக கடந்த ஏழு தினங்களுக்கு முன்பாக புதுக்கோட்டை அரசு மருத்துவக் கல்லூரி மருத்துவமனையில் அந்த நபர் அனுமதிக்கப்பட்டார். பிறகு மருத்துவர்கள் அவரது உடலை பரிசோதனை செய்து X-Ray எடுத்து, ஸ்கேன் செய்து பார்த்தபோது மருத்துவர்கள் அதிர்ச்சி அடைந்துள்ளனர். அவரது வயிற்றுக்குள் செவன் அப் பாட்டில் ஒன்று இருந்தது கண்டுபிடிக்கப்பட்டது

உடனடியாக அவரை பரிசோதனை செய்து அவரது உடல் இயல்பு நிலைக்கு வந்த பிறகு கடந்த மூன்று தினங்களுக்கு முன்பாக அவருக்கு அறுவை சிகிச்சை செய்யப்பட்டது. அவருக்கு வயிற்றில் செய்யப்பட்ட அறுவை சிகிச்சை மூலமாக வயிற்றுக்குள் இருந்த அந்த குளிர்பான பாட்டில் எடுக்கப்பட்டது. ஆனால் வயிற்றுக்குள் எப்படி குளிர்பான பாட்டில் சென்றது என்பது குறித்து மருத்துவர்கள் ஆய்வு செய்து வந்தனர்.
மாணவர்களை ஆபாசமாக பேசிய ஆசிரியை? தட்டிக்கேட்ட HMஐ அடித்து அலறவிட்ட ஆசிரியை
மேலும் அந்த நபரிடம் காவல்துறையினரும் விசாரணை மேற்கொண்டு வந்தனர், அந்த விசாரணையில், பாதிக்கப்பட்ட அந்த நபரை மன நலம் பாதிக்கப்பட்ட நபர் என்றும், வாய் பேச முடியாத நபர் என்றும் தெரியவந்ததாக போலீசார் தெரிவித்தனர்.
மேலும் அவர் தனது ஆசன வாயில் அவரே தான் அந்த குளிர்பான பாட்டிலை சொருகிக் கொண்டார் என்று சைகையிலேயே போலீசாரிடம் அவர் தெரிவித்துள்ளார். இதைக் கேட்டு காவல்துறை மட்டுமல்ல அது மருத்துவர்கள் அதிர்ச்சி அடைந்தனர். அவர் சைகை மூலமாக காட்டியது உண்மையா? அல்லது வேறு ஏதும் காரணமா? என்பது குறித்து போலீசார் விசாரணை நடத்தி வருகின்றனர். அறுவை சிகிச்சை முடிந்த பின்னர் தற்போது அவர் நலமாக உள்ளார் என்று மருத்துவர்கள் தெரிவித்துள்ளனர்.
பாஜகவுக்கு எடப்பாடி பழனிசாமி நம்பிக்கை துரோகம்: ஓபிஎஸ் முகத்தில் பிரகாசம்!
