மெக்சிக்கோவில் பிறந்த குழந்தைக்கு 5.7 செமீ வால் இருந்தது அனைவரையும் வியப்பில் ஆழ்த்தியுள்ளது.
மெக்சிக்கோவில் பிறந்த குழந்தைக்கு 5.7 செமீ வால் இருந்தது அனைவரையும் வியப்பில் ஆழ்த்தியுள்ளது. மெக்சிகோவின் வடகிழக்கில் ஊரக பகுதியில் அமைந்த மருத்துவமனையில் கர்ப்பிணி ஒருவர் பிரசவத்திற்காக அனுமதிக்கப்பட்டார். அவருக்கு அறுவை சிகிச்சை மூலம் பிரசவம் நடந்ததில் பெண் குழந்தை பிறந்தது.

இதையும் படிங்க: கட்டிட இடிபாடுகளில் சிக்கி இருந்த 6 வயது சிறுவன் உயிருடன் மீட்பு!!

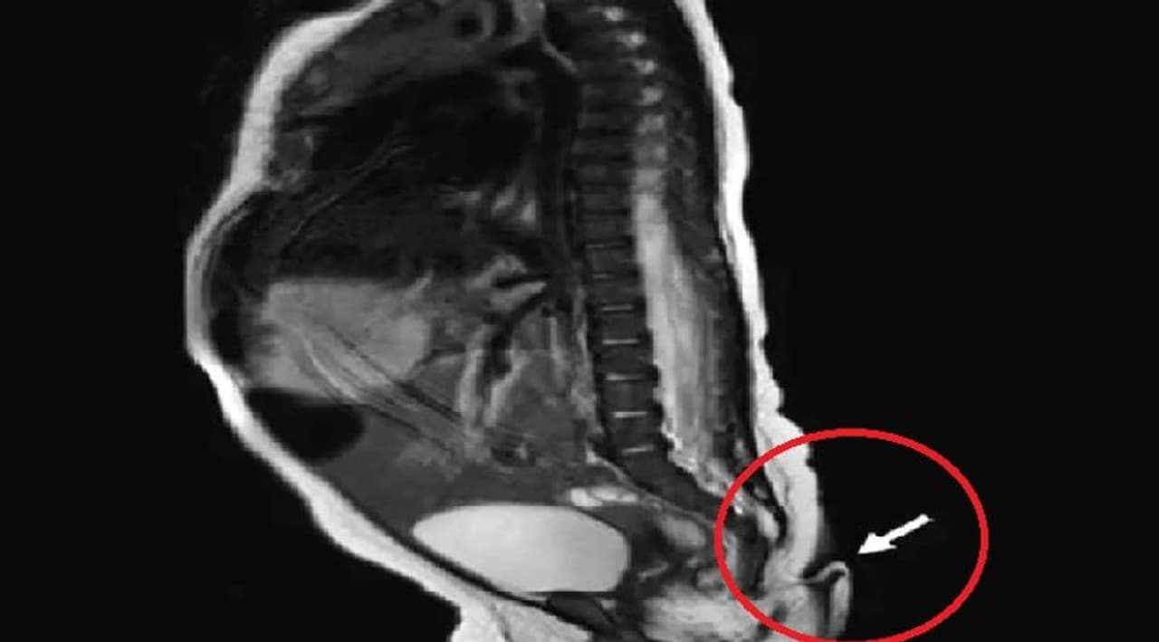
அந்த குழந்தைக்கு பின்புறத்தில் வால் இருந்துள்ளது. இதை கண்ட பெற்றோர்கள் அதிர்ச்சி அடைந்தனர். மேலும் வியப்பில் ஆழ்ந்தனர். அந்த வால் சுமார் 5.7 செ.மீ இருந்தது. மேலும் அது தோல் மற்றும் முடியால் உருவாகியிருந்தது. இதை அடுத்து மருத்துவர்கள் அந்த வாலை வலியில்லாமல் அகற்ற முடிவு செய்தனர்.
இதையும் படிங்க: பிரிட்டனின் ஆசியக் கோடீஸ்வரர்கள் பட்டியலில் பிரதமர் ரிஷி சுனக், அவரின் மனைவிக்கு முதல்முறையாக இடம்

அதன்படி, குழந்தை பிறந்து இரண்டு மாதங்களுக்கு பிறகு குழந்தையின் வால் அறுவை சிகிச்சை மூலம் அகற்றப்பட்டது. இதுபோன்ற சம்பவம் உலகில் 195 பேருக்கு மட்டுமே நிகழ்ந்துள்ளது என்பது குறிப்பிடத்தக்கது. இது பெரும்பாலும் ஆன் குழந்தைகளுக்கு மட்டுமே நடக்கும் என்றும் 17 குழந்தைகளில் ஒரு குழந்தைக்கு இதனால் மூளை அல்லது மண்டை ஓடு வளர்ச்சி குறைபாடு ஏற்படும் என்றும் மருத்துவர்கள் தரப்பில் கூறப்படுகிறது.
