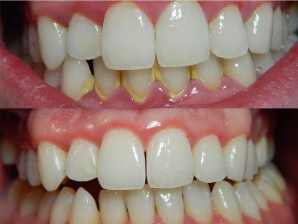
பற்களுக்கு கெடுதலை உண்டு பண்ணும். அதனால் பல் வலி, ஈறு வீக்கம், சீல் வடிதல் போன்றவை ஏற்பட்டு வாய் துர்நாற்றம் வீசக்கூடும். இவ்வாறு இல்லாமல் பற்களை அழகாகவும். ஆரோக்கியமாகவும் பளிச்சென இருக்கும் படியும் செய்வதற்கான சில குறிப்புகளை பார்க்கலாம்.
உங்கள் பற்கள் இவ்வளவு அசிங்கமா இருந்தா.. யாரும் கிட்ட வந்து கூட பேச மாட்டாங்க! செய்ய வேண்டியது என்ன?

செயற்கையான கலப்பிட உணவிற்கு மாறியபின், எதுதான் இயற்கையானதாக உள்ளது சொல்லுங்கள்...பல் துலக்கும் பேஸ்ட் முதல் உண்ணும் உணவு வரை எல்லாம் மாறி விட்டது...சரி அதனால என்னனு கேட்கிறீர்களா?
அதாவது, நம் முன்னோர்கள் காலத்தில் பற்களை கை விரலால் அல்லது வேப்பங்குச்சி, ஆலங்குச்சி போன்றவற்றால் துலக்குவது வழக்கம். ஆனால் அந்தக்காலம் தற்போது மலையேறி போய்விட்டது. இந்த காலத்தில் ஒரு வயது சிறுவர்கள் முதல் 80 வயது பெரியவர்கள் வரை பல் தேய்பதற்கு பிரஷ் பயன்படுத்துகின்றனர்
என்னதான் புது புது வகையான பிரஷ்கள் வந்தாலும், இயற்கை அளிக்கும் வேப்பங்குச்சி, ஆலங்குச்சி போன்ற வற்றிற்கு ஈடாக வர முடியாது. ஆனால் பெரும்பாலோனோர் இதில் பல் துலக்க ஆர்வாம் காட்டுவதில்லை. ஒரு சிலர் பற்களை சுத்தம் செய்வதற்கு, சாம்பல் செங்கல் தூள் போன்றவற்றை பயன்படுத்துகின்றனர்.
இவ்வாறு செய்தால் பற்களுக்கு கெடுதலை உண்டு பண்ணும். அதனால் பல் வலி, ஈறு வீக்கம், சீல் வடிதல் போன்றவை ஏற்பட்டு வாய் துர்நாற்றம் வீசக்கூடும். இவ்வாறு இல்லாமல் பற்களை அழகாகவும். ஆரோக்கியமாகவும் பளிச்சென இருக்கும் படியும் செய்வதற்கான சில குறிப்புகளை பார்க்கலாம்.

பல் தேய்க்கும் போது ஈறுகளை, முதல் விரலை கொண்டு, அதாவது ஆள் காட்டி விரல் கொண்டு, மெதுவாக அழுத்தி மசாஜ் செய்து வந்தால் ஈறுகளில் ரத்தம் கசிவது நிற்கும். பச்சை நெல்லிக்காயை பற்களால் கடித்து பற்களில் உள்ள கறை நீங்கும். கரும்பை சாப்பிட்டால் பற்கள் சுத்தமாகி பலம் பெறும்.ஆரஞ்சு பழ தோல்களை உலர்த்தி பொடி செய்து அதனை கொண்டு பல் தேய்த்து வர பற்களின் கறை நீங்கும்.
எலுமிச்சை சாருடன் தேன் கலந்து, சாப்பிட்டு வர பற்கள் பளிச்சென மாறும். பல் தேய்க்கும் போது பிரஷ்ஷில் உப்பை தொட்டு எலுமிச்சை சாறு சில சொட்டுகளையும் சேர்த்து பல் தேய்த்தால் பற்களின் மஞ்சள் நிறம் மாறும். முல்தானி மெட்டியை பற்களின் மேல் தேய்த்து வந்தாலும் மஞ்சள் நிற கறை நீங்கும். புதினா இலையை காய வைத்து பொடி செய்து, அதை கொண்டு பல் துலக்கி வந்தாலும் பற்கள் பளிச்சென மாறும்.

எலுமிச்சை தோல்களை காய வைத்து பொடியாக்கி, உப்பு சேர்த்து நல்லெண்ணெய்யில் குழைத்து பற்களை துலக்க பற்கள் பிரகாசமாக இருக்கும் கேரட்டை பச்சையாக கடித்து உண்டால் பற்களுக்கு நல்ல பலனை தரும்.கிராம்பை வாயில் போட்டு மென்று வர, வாய் நாற்றம் அகலும். மூன்று மாதங்களுக்கு ஒரு முறை பிரஷ்ஷை பயன்படுத்த வேண்டும். பற்களை தேய்ப்பது போலவே நாக்கையும் பிரஷ்ஷால் தேய்த்து சுத்தம் செய்ய வேண்டும். இதனால் வாய் துர்நாற்றம் நீங்கும்.
சாப்பிட்ட பின்பு வாயை நன்கு கொப்பளிக்க வேண்டும். முடிந்தால் உப்பு கலந்த நீரினால் கொப்பளிப்பது நல்லது. இவ்வாறு செய்து வந்தால் எந்த விதமான பற்கள் பிரச்னையும் வரவே வராது.
ஆனால் இத்தனை வழிகள் இருந்தாலும் நாம் பின்பற்றுவது எல்லாம் மாடர்ன் லைஃல, கலர் கலரா கிடைக்கக்கூடிய பேஸ்ட் மற்றும் பிரஷ் தான்.
