
கேரளாவின் கோழிக்கோடு மாவட்டம் தமரச்சேரியை பகுதியைச் சேர்ந்த 9 வயது சிறுமி ஒருவர் கடும் காய்ச்சல் காரணமாக கோழிக்கோடு மருத்துவக் கல்லூரி மருத்துவமனையில் கடந்த ஆகஸ்ட் 14 ஆம் தேதி அனுமதிக்கப்பட்டார். அன்றைய தினமே அவர் சிகிச்சை பலனின்றி உயிரிழந்தார். சிறுமியின் இறப்புக்கான காரணம் குறித்து நடத்தப்பட்ட பரிசோதனையில் அவரது மூளையில் அரியவகை அமீபா இருப்பது கண்டறியப்பட்டது. மூளை திசுக்களை தின்னும் இந்த வகை அரிய அமீபா மாசடைந்த ஏரி, குளம், ஆறுகளில் உயிர் வாழக்கூடியது. இது போன்ற நீர் நிலைகளில் குளிப்பவர்களுக்கு அமீபா தொற்று ஏற்படும் வாய்ப்புகள் அதிகம். சிறுமி உயிரிழந்ததையடுத்து அவர் வசித்து வரும் பகுதிகளில் உள்ள நீர் நிலைகளை கண்டறிந்து அங்கு குளித்தவர்கள் அடையாளம் காணப்பட்டு அவர்களுக்கு பரிசோதனை நடத்தப்படும் என்று அதிகாரிகள் தெரிவித்துள்ளனர்.
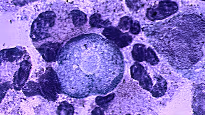
கோழிக்கோடு மாவட்டத்தில் இந்தாண்டில் மட்டும் இதுவரை அமீபா பாதிப்பு காரணமாக மூன்று பேர் இறந்துள்ள நிலையில், நான்காவது நபராக இந்த ஒன்பது வயது சிறுமியும் இறந்துள்ளார் என்பது குறிப்பிடத்தக்கது. இந்த நிலையில் அமீபா என்றால் என்ன? அது எவ்வாறு மூளையை பாதிக்கிறது? என்பது குறித்து இந்த பதிவில் விரிவாகப் பார்க்கலாம். அமீபா என்பது முதன் முதலில் ஆஸ்திரேலியாவில் 1965 ஆம் ஆண்டு கண்டறியப்பட்டது. இது பொதுவாக சூடான நன்னீர் அல்லது அழுக்கு நிறைந்த ஏரி, குளங்கள், சுத்திகரிக்கப்படாத நீரில் மறைந்திருக்கும். அது மனித உடலுக்குள் நுழைந்து மூளையில் கொடிய தொற்று மற்றும் வீக்கத்தை ஏற்படுத்தும். இறுதியில் மூளை திசுக்களை சாப்பிட தொடங்கும். இந்த நிலைக்கு ‘முதன்மை அமீபிக் மெனிங்கோ என்செபாலிடிஸ்’ என்று பெயர்.
ஒரு செல் உயிரியான அமீபாக்கள் நிறைந்துள்ள நீரில் நீந்தும் பொழுது அல்லது தலைமுங்கும் பொழுது இது மூக்கு வழியாக மனித உடலுக்குள் நுழைகிறது. பின்னர் நம் மூளைக்குச் சென்று அங்குள்ள திசுக்களை அழிக்கத் தொடங்குகிறது. இது நன்னீரில் மட்டுமே வாழ்கிறது. உப்பு நீர் அல்லது உறைந்த நீர்களில் காணப்படுவதில்லை. அசுத்தமான நீரை குடிப்பதால் பரவுவதில்லை மாறாக அசுத்தமான நீரில் குளிப்பதாலே இது பரவுகிறது. சளி ஜவ்வு வழியாக மூக்கில் மூளைக்குள் நுழைந்தால் மட்டுமே இது பாதிப்பை ஏற்படுத்தும். மூளைக்குள் நுழைந்த பின்னர் கடுமையான அறிகுறிகளை ஏற்படுத்தும். ஒன்று முதல் ஏழு நாட்களுக்குள் அறிகுறிகள் மோசமாகத் தொடங்கும். கடுமையான தலைவலி, காய்ச்சல், குமட்டல், வாந்தி, கழுத்து இறுக்கம், குழப்பமான மனநிலை, திசை தெரியாமல் இருப்பது, கண் கூசுவது, வலிப்பு, மயக்கம் ஆகியவை இவற்றின் பொதுவான அறிகுறிகள் ஆகும்.
நோய் தொற்று ஏற்பட்ட சில நாட்களுக்குள் வழக்கமாக ஐந்து முதல் ஏழு நாட்களுக்குள் உயிரிழப்புகள் ஏற்படலாம். அமீபா பாதித்தவருக்கு சிகிச்சை என்பது மிகவும் கடினமானது. அமீபாவால் உயிரிழந்தவர்களின் சதவிகிதம் 97-க்கும் மேலாக உள்ளது. சில அரிதான சமயங்களில் மட்டுமே சிகிச்சைகள் வெற்றி பெற்றுள்ளது. அமீபா நம் உடலுக்குள் செல்வதை தவிர்க்க வேண்டுமானால், சந்தேகத்திற்கு இடமான குளங்களில் குளிப்பதை தவிர்க்க வேண்டும். முன்பின் தெரியாத நீர் நிலைகளில் இறங்கி குளித்தல் கூடாது. சூடான தேங்கியுள்ள நன்னீர் நிலைகளில் நீந்துதல் கூடாது. ஒருவேளை நீந்தும்படி நேர்ந்தால் மூக்கை பிடித்துக் கொள்வது அல்லது மூக்கிற்கு கிளிப் அணிந்து கொள்வது ஆகியவை அமீபா மூக்கு வழியாக உடலுக்குள் நுழைவதை தடுக்கும்.
வீடுகளில் குழாய்களில் வரும் நீரை தூய்மை படுத்தாமல் மூக்கை சுத்தம் செய்வதற்கு பயன்படுத்தக்கூடாது. வீடுகளில் சரியாக காய்ச்சிய அல்லது வடிகட்டிய நீரை மட்டுமே மூக்கை சுத்தம் செய்வதற்கு பயன்படுத்த வேண்டும். நீச்சல் குளங்களில் பலரும் குளிப்பார்கள் என்பதால் பொது நீச்சல் குளங்களில் குளிப்பதை தவிர்த்து விட வேண்டும். இது போன்ற செயல்கள் மூலமாக அமீபா மூக்கு வழியாக நம்ம உடலுக்குள் நுழைவதை தவிர்க்க முடியும். என்டமீபா ஹிஸ்டோலிட்டிகா என்கிற குடல் அமீபா நீர் மூலம் பரவும் ஒரு ஒட்டுண்ணி வகையாகும் இது மனிதர்களின் குடலைத் தாக்கி செரிமானப் பிரச்சனைகளை ஏற்படுத்தும். கடுமையான வயிற்றுப் போக்கை ஏற்படுத்தி உயிருக்கே கூட ஆபத்தாக முடியலாம். இந்த வகை அமீபாக்கள் பொதுவாக மனித மலம், அசுத்தமான நீர், சுகாதாரம் குறைவான உள்ள பகுதிகள் மூலம் பரவலாக ஏற்படும்.
வெதுவெதுப்பான நன்னீர், குறிப்பாக அமைதியான நீரில் மூக்குகளை மறைக்கும் வண்ணம் கிளிப்புகளை அணிந்து கொண்டு நீந்த வேண்டும். நீர் விளையாட்டுகளில் விளையாடும் பொழுது கவனமாக இருக்க வேண்டும். சந்தேகத்திற்கு இடமாக இருக்கும் நீரில் குளிப்பதை தவிர்க்க வேண்டும். மூக்குகளை சுத்தம் செய்வதற்கு ஒரு நிமிடம் வரை நீரை கொதிக்க வைத்து ஆறவைத்து அதை குளிர்வித்து அதன் பின் மூக்கை சுத்தம் செய்வதற்கு பயன்படுத்தலாம். நீங்கள் குடிக்கும் குடிநீர் மற்றும் சமைக்கும் நீர் பாதுகாப்பானதா என்பதை உறுதிப்படுத்திக் கொள்ளவும். பொது நீச்சல் குளங்கள் மற்றும் பிற பகுதிகளில் குளிக்கும் நீர் சுத்தமாக உள்ளதா என்பதை உறுதிப்படுத்திக் கொள்ள வேண்டும். பொது சுகாதார பழக்கவழக்கங்களை மேற்கொள்ள வேண்டும். நீர் நிலைகளில் காணப்படும் அமீபாக்கள் அரிதானது என்றாலும், இவை ஏற்படுத்தும் பாதிப்புகள் மிக தீவிரமானவை. எனவே நீர்நிலைகளில் குளிப்பதற்கு முன்னர் போதிய முன்னெச்சரிக்கை நடவடிக்கைகளை மேற்கொள்ள வேண்டும்.