
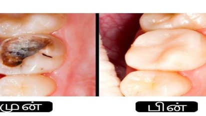
சொத்தைப் பல்:
வாயில் உள்ள பாக்டீரியாக்களின் பெருக்கத்தால், பற்களின் எனாமல் அரிக்கப்பட்டு ஏற்படும் நிலை தான் சொத்தைப் பல்.
இந்த நிலையின் போது பற்களின் உள் அடுக்கான டென்டின் பாதிக்கப்படும் மற்றும் பற்களின் நிலையும் பாதிக்கப்படும்.
நிறைய பேர் சொத்தைப் பற்களைப் போக்க பல் மருத்துவரை சந்தித்து சிகிச்சை மேற்கொள்வார்கள். ஆனால் சொத்தைப் பற்களை இயற்கை வழியிலேயே போக்க முடியும்.
சொத்தைப் பற்கள் வரக் காரணங்கள்:
சொத்தைப் பற்கள் உணவுகளால் தான் ஏற்படும் என்பது அனைவருக்கும் தெரியும். அதிலும் கனிமச்சத்துக்களின் குறைபாடு, கரையக்கூடிய கொழுப்பு வைட்டமின்களின் குறைபாடு, அளவுக்கு அதிகமான சர்க்கரை உணவுகளை உண்பது மற்றும் பைட்டிக் அமிலம் நிறைந்த உணவுகளை அதிகம் உண்பதாலும் தான் சொத்தைப் பற்கள் ஏற்படும்.
சர்க்கரை உணவுகளைத் தவிர்க்கவும்
சொத்தைப் பற்கள் இருந்தால், சர்க்கரை நிறைந்த உணவுகளை முற்றிலும் தவிர்க்க வேண்டும். ஏனெனில் சர்க்கரை வாயில் உள்ள பாக்டீரியாக்களுக்கு ஊட்டமளித்து, எச்சிலின் ஆரோக்கியத்தைத் தடுத்து, எச்சிலை அமிலமாக்கி, பற்களை மேன்மேலும் சொத்தையாக்கும். ஆகவே சர்க்கரை உணவுகளுக்கு குட்-பை சொல்லி விட வேண்டும்.
ஊட்டச்சத்துள்ள உணவுகளை உண்ணவும்
சொத்தைப் பற்களை எதிர்த்துப் போராட, கரையக்கூடிய வைட்டமின்கள் மற்றும் கனிமச்சத்துக்கள் நிறைந்த உணவுகளை அதிகம் சாப்பிட வேண்டும். அதற்கு பச்சை இலைக் காய்கறிகள், அவகேடோ, தேங்காய் எண்ணெய், நட்ஸ் மற்றும் விதைகள் போன்றவற்றை உணவில் சேர்த்து வந்தால், பற்களுக்கு நல்ல பாதுகாப்பு கிடைக்கும்.
பைட்டிக் அமில உணவுகளை அகற்றவும்
பைட்டிக் அமிலம் தானியங்கள், வேர்க்கடலை, மைதா, சோளம், கோதுமை, பருப்பு வகைகள் போன்றவற்றில் ஏராளமாக உள்ளது. இந்த உணவுகளை சொத்தைப் பல் இருக்கும் ஒருவர் சாப்பிட்டால், அது மேலும் சொத்தைப் பற்களை மோசமாக்கும்.
ஆயில் புல்லிங்
தினமும் காலையில் எழுந்ததும் 1 டேபிள் ஸ்பூன் தேங்காய் எண்ணெயை வாயில் ஊற்றி, 20 நிமிடம் கொப்பளித்து துப்பிய பின், பிரஷ் செய்ய வேண்டும். இச்செயலை தினமும் செய்து வந்தால், சொத்தைப் பற்கள், ஈறு நோய்கள் போன்றவை தடுக்கப்படுவதோடு, தலைவலி குறையும்.
நேச்சுரல் டூத் பேஸ்ட்
கடைகளில் விலைக் குறைவில் விற்கப்படும் டூத் பேஸ்ட்டுகளில் ப்ளூரைடு அதிகம் உள்ளது. இந்த ப்ளூரைடு பற்களின் ஆரோக்கியத்தைப் பாதிக்கும். ப்ளூரைடு இல்லாத டூத் பேஸ்ட் இருக்கும். அதனை வாங்கிப் பயன்படுத்தலாம்.