
பெங்களுருவில் உள்ள ஸ்ரீ சத்ய சாய் இன்ஸ்டிடியூட் ஆப் ஹையர் மெடிக்கல் சயின்சஸ் அசாதாரண அறுவை சிகிச்சையை செய்து சாதனை படைத்துள்ளது. 52 வயதான பெண் ஒருவர், குழந்தை பருவத்திலிருந்தே உச்சந்தலையில் வளைந்த நிலையில் வாழ்ந்து வந்தார், ஆனால் இதுவரை மருத்துவ உதவியை நாடவில்லை. வலியற்ற வீக்கம் கிட்டத்தட்ட 6 அங்குல நீளம், 4 அங்குல அகலம் மற்றும் கிட்டத்தட்ட 5 அங்குல உயரத்திற்கு வளர்ந்துள்ளது.
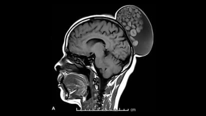
எம்ஆர்ஐ ஸ்கேன் செய்ததில், அவளது தலையின் பின்பகுதியில் ஒரு சதைப்பற்றுள்ள வளர்ச்சி இருப்பது தெரியவந்தது. வளர்ச்சியை அகற்ற அறுவை சிகிச்சையின் போது, திரவம், முடி, கொழுப்பு மூலக்கூறுகள் மற்றும் கெட்டியான வெளிப்புற விளிம்புகள் கொண்ட கெரட்டின் பந்துகள் ஆகியவற்றால் நிரப்பப்பட்டிருப்பதை மருத்துவர்கள் கண்டறிந்தனர்.
500 ரூபாய் நோட்டு வைத்திருப்போர் எச்சரிக்கை.. ரிசர்வ் வங்கி முக்கிய அறிவிப்பு - முழு விபரம் இதோ !!
கெரட்டின் என்பது ஒரு புரதமாகும். இது முடி, நகங்கள் மற்றும் தோலின் வெளிப்புற அடுக்குக்கு அடிப்படையாக அமைகிறது. வளர்ச்சியில் காணப்படும் வெகுஜனங்கள் டெர்மாய்டு நீர்க்கட்டிகள் என்று அழைக்கப்படுகின்றன. அவை கரு உயிரணுக்களிலிருந்து உருவாகின்றன. முடி, பற்கள் அல்லது நரம்புகளைக் கொண்டிருக்கலாம். அவை பெரும்பாலும் தலை மற்றும் கழுத்து பகுதியில் தோன்றும் போது, அவை கருப்பைகள் அல்லது உடலின் பிற பகுதிகளிலும் இருக்கலாம்.
இந்த உருண்டைகளின் வளர்ச்சிக்கான சரியான காரணம் தெளிவாக இல்லை என்றாலும், அவை பொதுவாக பாதிப்பில்லாதவை மற்றும் வலியற்றவை என்று மருத்துவர்கள் நம்புகின்றனர். இருப்பினும், அவை தொற்று மற்றும் அருகிலுள்ள எலும்புகளுக்கு சேதம் போன்ற சிக்கல்களுக்கு வழிவகுக்கும். இந்த கட்டிகளை வெற்றிகரமாக அகற்றிய பிறகு, மருத்துவர்கள் அவரது முன்னேற்றத்தை ஆறு மாதங்களுக்கு கண்காணித்தனர். தற்போது அது வளரவில்லை என்று தெரிவித்துள்ளனர்.
Bank Holiday In August 2023 : ஆகஸ்ட் மாதம் 14 நாட்கள் வங்கி விடுமுறை... முழு விபரம் இதோ !!